

En Branz solo ofrecemos los mejores resultados. Con nuestros casos clínicos podrás comprobarlo por ti mismo.


Jaume acudió a nuestra clínica Branz buscando una solución para sus dientes. Recomendamos carillas de composite como la mejor opción para mejorar su sonrisa. Durante el procedimiento, aplicamos capas finas de composite de alta calidad en los dientes y los esculpimos para obtener una apariencia natural. El resultado final fue un paciente muy satisfecho con su impresionante sonrisa.
Ver caso completo

El equipo de Branz diseñó un plan de tratamiento personalizado para el paciente, que involucraba el uso de aparato ortodóncico para corregir la alineación de los dientes y mejorar la mordida. Se utilizó un sistema de brackets y alambres para alinear los dientes superiores e inferiores, y se colocó un dispositivo de tracción extraoral para corregir la posición de la mandíbula inferior. El tratamiento de ortodoncia en la clínica dental de Branz fue llevado a cabo en varias etapas a lo largo de varios meses, con revisiones regulares para hacer ajustes necesarios. Al final del tratamiento, el paciente había logrado una mordida saludable y estética, y se sintió mucho más seguro y feliz con su sonrisa.
Ver caso completo

El tratamiento de ortodoncia llevado a cabo en la clínica dental de Branz en Catarroja es un proceso altamente personalizado y eficaz que se enfoca en corregir cualquier problema de alineación dental y mejorar la función de la mordida. El equipo de ortodoncia cuenta con la más avanzada tecnología y técnicas de ortodoncia para asegurar que cada paciente obtenga resultados de alta calidad.
Ver caso completo

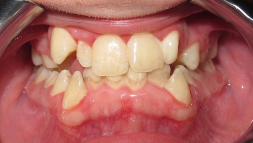
En Branz Ortodoncia, brindamos tratamientos ortodónticos personalizados y efectivos para Vanesa. Realizamos una evaluación exhaustiva y brindamos un plan de tratamiento adaptado a sus necesidades y metas. Utilizamos tecnologías avanzadas y nos esforzamos por mantener una comunicación abierta con ella para garantizar su confort y satisfacción. Nuestro objetivo es ayudarla a alcanzar una sonrisa saludable y atractiva que la acompañe por el resto de su vida.
Ver caso completo

En Branz Ortodoncia, también nos enfocamos en tratamientos de ortodoncia para adolescentes. Para nuestra paciente Luisa, realizamos una evaluación exhaustiva y determinamos el mejor plan de tratamiento para corregir su posición dental. Utilizamos los últimos avances tecnológicos y técnicas para garantizar un resultado efectivo y duradero. Nos aseguramos de ser muy claros y pacientes con Luisa y su familia durante todo el proceso, y trabajamos juntos para lograr una sonrisa saludable y atractiva. ¡Queremos que Luisa tenga una sonrisa de la que esté orgullosa durante toda su vida!
Ver caso completo

En Branz Ortodoncia, también nos especializamos en tratamientos de carillas estéticas. Evaluamos el caso de nuestro paciente para determinar la mejor solución estética para sus dientes. Usamos materiales de alta calidad y tecnologías avanzadas para asegurarnos de que las carillas sean duraderas y naturales. Trabajamos con cuidado y profesionalismo para garantizar la satisfacción del paciente y dejarle con una sonrisa radiante y confiada.
Ver caso completo

En Branz Ortodoncia en Catarroja, nos encargamos de darle un tratamiento de ortodoncia de primera a Francisco. Evaluamos su caso en profundidad y usamos las mejores técnicas y tecnologías para corregir la posición de sus dientes y mandíbulas. Nos esforzamos por mantener la salud bucal de nuestros pacientes y somos cuidadosos y profesionales en cada paso del tratamiento. Al final, nuestro objetivo es dejar a Francisco sonriendo con su nueva sonrisa.
Ver caso completo

La clínica de Branz Ortodoncia está orgullosa de haber acompañado a Pedro en su tratamiento de ortodoncia durante 2 años. Desde el primer día, nuestro equipo de expertos trabajó de manera cercana con Pedro para lograr los mejores resultados en su tratamiento. A lo largo de los 2 años, Pedro demostró una gran dedicación y compromiso con su tratamiento, lo que se reflejó en los increíbles resultados que logró. Nuestro equipo de profesionales utilizó las últimas tecnologías y técnicas en ortodoncia para ayudar a Pedro a corregir sus malposiciones dentales y mejorar su sonrisa.
Ver caso completoEn la familia Branz, lo más importante es el paciente y su satisfacción es nuestra prioridad.

¡Olvídate de cuadrar agenda con tu ortodoncista!

621 249 922 sábados y domingos
de 10:00 a 14:00 h.

¡Di adiós al miedo al dentista con nuestras sedaciones!
¡Queremos que veas lo que podemos hacer por ti!

Pregunta por nuestras opciones de financiación.

Expertos en múltiples campos dentales para ti.
